Featured
Tooth Decay Behind Bottom Front Teeth
Tooth Decay Behind Bottom Front Teeth. One of the main reasons that might lead to the development of. Cavities are also known as caries.

It could also be due to anesthetic injections during oral procedures like root canal treatment. Since the lower front teeth come into contact with this rich source of minerals first, some of the minerals are deposited there first. The last time i went my dentist told me i had some decay on the back of my two front teeth, but it did not seem to be too drastic as she didnt do anything about it then.
Tooth Decay Can Occur When Acid Is Produced From Plaque, Which Builds Up On Your Teeth.
This includes blocked sinuses, gum disease/inflammation, pulp inflammation, tooth decay, cracked tooth, a cavity, or nerve root exposure. On observing any of these symptoms, dentist will probably respond with a surgical intervention. That's because the bacteria in it can irritate and damage your gums.
I Have Tooth Decay On My Upper Front Teeth But Nowhere Else.
This can lead to cavities and tooth decay. Unfortunately, my dentist does not speak good english and i cannot understand what has. Tooth decay also occurs when foods containing carbohydrates become trapped between teeth and are not completely removed with brushing and flossing.
Black Teeth May Develop Holes In.
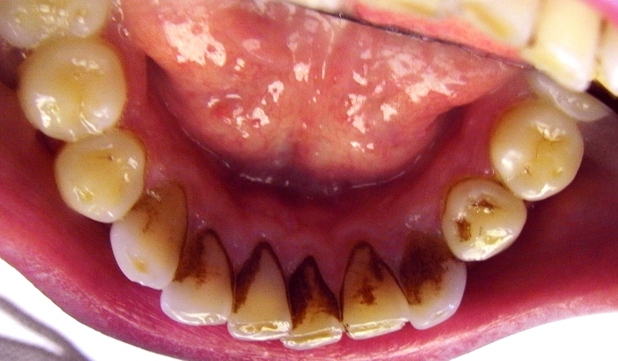
It could also be due to anesthetic injections during oral procedures like root canal treatment. The cavity is filled, the root is canaled or the tooth extracted. Common sites for black tartar on the teeth are on the inside of the front lower teeth or the outside of the molars.
Cavities, Also Called Tooth Decay Or Caries, Are Caused By A Combination Of Factors, Including Bacteria In Your Mouth, Frequent Snacking, Sipping Sugary Drinks And Not Cleaning Your Teeth Well.
But some can be harmful such as those that play a role in the tooth decay process. It is important to understand the causes of the cavity so you can learn the proper way to. According to statistics, 92 percent of american adults 20 to 64 have had dental caries in their permanent teeth.
An Anterior Crossbite Is When The Front Top Teeth Are Behind The Bottom Front Teeth.
Cavities start small and slowly become bigger when they are left untreated. It’s true that cavities are more common to occur in your back teeth than your front teeth. Dental cavities are holes in teeth caused by tooth decay.
Comments
Post a Comment